Confie seu sorriso a quem é referência em radiologia

Todos os exames que você precisa em um único lugar

A LIV Radiologia é uma clínica especializada em exames auxiliares que ajudam os dentistas na escolha do melhor tratamento para seus pacientes. Seguindo os princípios do atendimento humanizado prestado por profissionais altamente qualificados.

Diagnósticos precisos e resultados em tempo hábil. Nossa clínica conta com uma infraestrutura moderna, acessibilidade para deficientes e um ambiente tranquilo e confortável.

Nossos Exames

Diagnóstico é a base de tudo

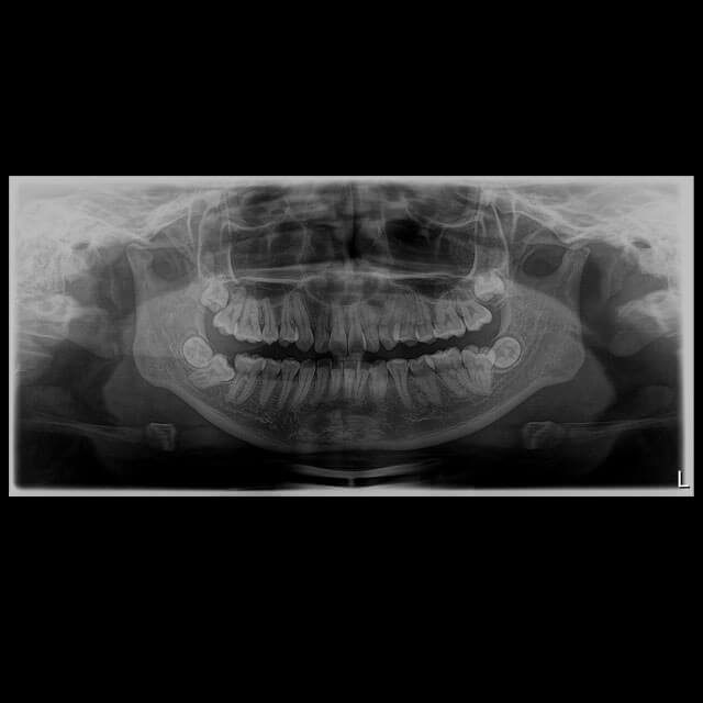
Radio Panorâmica

A radiografia panorâmica é uma ferramenta que permite uma exploração detalhada do complexo dento maxilar. Ou seja, permite obter uma radiografia completa da parte superior e inferior da mandíbula.

São fotografias abrangentes da face e dos dentes. Portanto, oferecem uma visão que seria invisível a olho nu.

Tomografia Computadorizada Cone Beam

Também chamada de tomografia computadorizada de feixe cônico ou volumétrica, a tomografia Cone Beam é um método de captura radiográfica de imagem em três dimensões (3D).

Para conseguir as imagens, o aparelho conta com um feixe cônico de radiação e um receptor, que giram em 360° um única vez na região de interesse.

Radiografia Periapical

A radiografia periapical ou RX periapical é um exame utilizado para mostrar radiograficamente a anatomia de um ou mais dentes (desde a coroa ao final da raiz), assim como as estruturas anatômicas vizinhas, ou seja, que estão ao redor dos dentes.

Esta radiografia pode ser usada para estudar qualquer dente (molar, pré-molar, e incisive os caninos) seja na arcada dentária superior ou na inferior para fins de diagnóstico e tratamento.

Documentação ortodôntica

A documentação ortodôntica é um conjunto de exames composto por radiografias, fotografias intra e extra-bucais, modelos em gesso das arcadas dentárias, análises cefalométricas e de modelos computadorizados que o dentista solicita para ter uma visão abrangente e detalhada do caso de seu paciente.

Radiografia Mão e punho(Carpal)

Raio-X de Mãos e Punhos para Idade Óssea é o exame de imagem que analisa os ossos das mãos e punhos para estimar através do amadurecimento dos ossos, a idade de crianças.

A obtenção das imagens é feita com pequenas doses de radiação ionizante. O método não é invasivo e, geralmente, rápido.

Radiografia ATM

A Radiografia Transcraniana é uma técnica de diagnóstico por imagem que possibilita a análise da ATM (Articulação Temporomandibular). Esta técnica radiológica é de extrema importância, pois a região da ATM pode interferir em quase todas especialidades da odontologia.

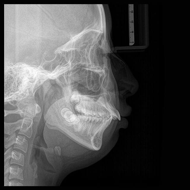
Telerradiografia

A Telerradiografia é um exame radiográfico realizado em posição lateral ou frontal. Através desta imagem são realizadas análises cefalométricas com finalidade ortodôntica ou cirúrgica.

A sua clínica

Conheça a localização

Ver no Google Maps

Orientações aos pacientes

Segurança e bem-estar para você

1

Tempo de Permanência

Dependendo do tipo de exame, serviços de seguro de saúde, colaboração do paciente e outros fatores , o tempo gasto na clínica varia muito.

2

Resultados dos exames

• Radiografia panorâmica, periapicais ou técnicas de localização: um (1) dia útil; • Tomografia computadorizada: seis (6) dias úteis; • Documentações: sete a dez (7 à 10) dias úteis;

3

Entrega dos exames

Entregamos diretamente ao consultório do cirurgião dentista. Para Taboão da serra e região serviço de frete terceirizado; O paciente também pode optar em retirar o exame pessoalmente ou receber por email.

4

Documentação ou moldagem

Jejum alimentar de duas horas(2hs); Evitar maquiagem e batom; Realizar higiene dental; No caso de documentação padrão A .S., para realizar fotos de corpo inteiro, trazer traje de banho (shorts, maiô ou biquíni)

5

Guia para gestantes

Realizamos radiografias perante a ciência do médico obstetra que a estiver acompanhando; Como os demais, ela deverá usar proteção.

6

Radiografia panorâmica

Retirar metais da cabeça e pescoço (brincos ,correntes , presilhas e aparelhos removíveis). • Caso tenha exames anteriores relacionados à região a ser examinada pedimos a gentileza de trazê-los. A comparação com exames anteriores fornece diagnósticos mais precoces e evita, muitas vezes, a realização de incidências adicionais